Naegleria fowleri is a deadly brain-eating amoeba—and not the kind of thing you want to come in contact with. Two recent incidents have exposed people to the terrifying microbe, one leading to the death of a 29-year-old a New Jersey man.
The stir began last month, when New Jersey’s Fabrizio Stabile visited a Texas wave pool and tragically ingested the deadly amoeba. He subsequently died of the infection on September 16, according to a GoFundMe page set up to help create a foundation in his honor and to raise awareness of the rare but preventable infection.
The Centers for Disease Control and Prevention (CDC) is testing the surf resort where Stabile ingested the amoeba, and the water park is voluntarily closed until the CDC’s investigation is complete, according to the Waco Tribune-Herald.
Ten days later, Naegleria fowleri was also detected in a Louisiana water system near Shreveport on September 26, according to KTBS. The amoeba was discovered thanks to a random health and safety test of the system.
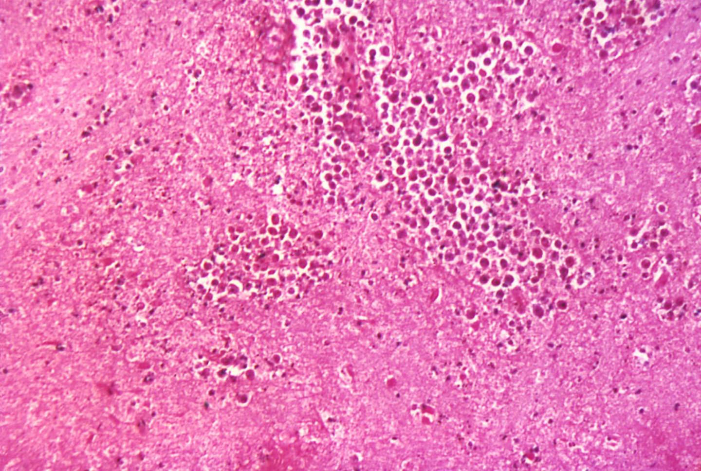
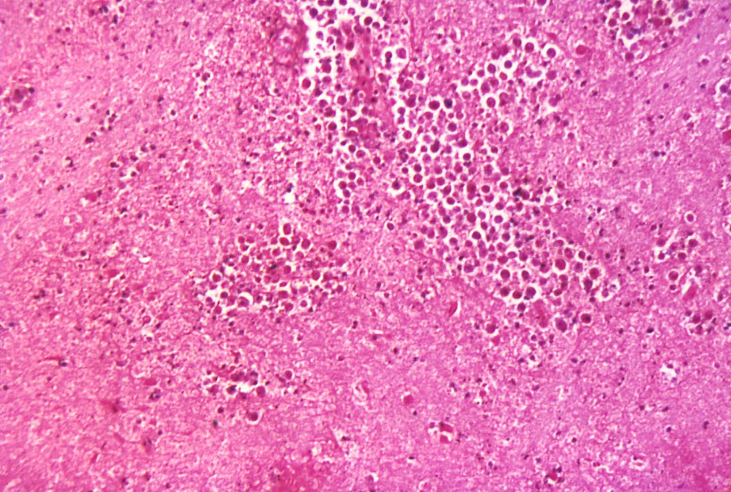
According to the CDC, Naegleria fowleri causes the onset of primary amebic meningoencephalitis (PAM), a brain infection that leads to the destruction of brain tissue and be fatal. Its symptoms mimic those of bacterial meningitis and include fever, headache, and nausea. Following the onset of symptoms, patients typically die from PAM within five days.
The CDC says that it isn’t possible to contract Naegleria fowleri by drinking contaminated water. However, such as in the case of Stabile, Naegleria fowleri can be contracted when contaminated water enters the body through the nose, either in a chlorinated swimming pool water or if one uses contaminated tap water to rinse their sinuses.
Naegleria fowleri infections are not all that common, but with a fatality rate over 97%, Naegleria fowleri survivors are extremely rare. Four out of 143 known infected individuals in the U.S. in the past 55 years have survived.












